tel

審美歯科Cosmetic Dentistry

審美歯科

審美歯科

審美歯科と聞くと、見た目の美しさだけを追求する特別な治療をイメージするかもしれませんが、大切なことは、歯並びとお顔との調和、そして歯本来の機能をしっかりと考えた治療を行うことです。

審美歯科治療法

必要に応じ技工士が写真を撮影して、患者さんの色を確認いたします。

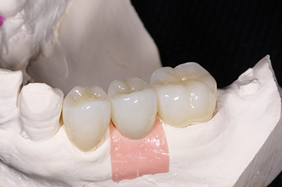
オールセラミック

オールセラミック

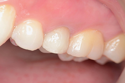
被せ物全体がセラミックなので、とても透明感が高く、天然の歯が持つ自然な透明感をそのまま再現するのがオールセラミックの特徴です。

保険などの金属を使用した場合は、歯茎に金属部分が露出したり、金属イオンの作用によって歯茎が黒く変色することがあります。オールセラミックであれば、こうした心配がありません。さらに汚れや着色が付着しにくい、金属アレルギーの心配がないという利点もあります。

また、治療の際は、被せ物を作る技工士が当院で写真撮影を行い、患者様の歯の色、形を記録して、自然な被せ物を作成いたします。

フルジルコニア

フルジルコニア

セラミックの一種であり、金属以上に強度が高く、変色も少ないという特徴があるジルコニアを使用します。なおセラミック同様、金属によるアレルギー反応を起こす心配がありません。

耐久性はオールセラミックよりも長けていますが、透明感という部分では若干セラミックに劣りますが表面に患者様の歯の色に合うように、細工を施します。前歯よりも咬む力が強い奥歯向きですが、高い審美性を持ち合わせているといわれます。

尚、かみ合わせの状態により、フルジルコニアが適さない場合もありますので、お口の状態により他の被せ物を提案いたします。

e-maxプレス

e-maxプレス

セラミックの一種である二ケイ酸リチウムガラスというのが主成分で、これを溶かし、強圧でプレスすることで作成した冠(被せ物)になります。

強度はジルコニアの方が優れていますが、天然の歯とほぼ同様の強度はあるので、噛み合わせのバランスもとりやすく自らの歯を傷めるリスクを減らすことができます。また金属アレルギーの心配も他のセラミック同様にありません。

このほか審美性が高いのも利点です。これはガラスの成分による影響もあるかと思われますが、冠の透明感や色調はセラミックほどではありませんが、天然の歯と同様な色調を再現することもできます。

メタルボンド

メタルボンド

金属のフレームにセラミックを貼り付けた被せ物をメタルボンドと言います。セラミックス全盛期より前はこの方法が主流でした。
現在でも、インプラント治療時や、かみ合わせにより選択する場合も多くございます。

金属で補強してあるので通常のセラミックと比べて耐久性があり、奥歯の冠やブリッジの治療によく用いられます。さらに色の変色が起こりにくいメリットもあります。

治療内容

むし歯や銀歯、欠損した部位に対し、セラミック(陶器)やジルコニアなどの歯科素材を用いて、詰め物(インレー)や被せ物(クラウン)を作製・装着する治療です。
金属を使用しない「メタルフリー治療」により、天然歯に近い色調の再現や、金属アレルギーのリスク低減、歯肉の変色防止を目的としています。

リスク・副作用

処置後に一時的に歯がしみる(知覚過敏)症状が出ることがあります。
セラミックは強い衝撃や、過度な食いしばり・歯ぎしりによって欠けたり割れたりすることがあります。
周囲の天然歯との色調調整には限界があり、完全に一致しない場合があります。

治療期間・回数

通院回数:2回~3回(型取りから装着まで)
期間:約2週間~3週間(製作期間を含む)

料金(税抜)

※患者様の状態に応じて、治療回数が多くなる場合があります。
※自費診療となります。
項目 料金
e-MAX インレー 6万5千円
ジルコニアクラウン 9万5千円
ジルコニアボンド 12万円~15万円

医療費控除について
≫ 詳しくはこちら

医院概要Summary

クリニック名
小じま歯科医院
診療科目
一般歯科・口腔外科・小児歯科・インプラント・審美歯科
住所
〒124-0023
東京都葛飾区東新小岩5-21-10
アクセス
≪JR総武線≫
新小岩駅 徒歩8分
≪京成タウンバス≫
東新小岩五丁目 下車徒歩1分
上平井中学校 下車徒歩1分
TEL
03-3696-1761
休診日
木曜・日曜・祝日
クレジット
VISA, JCB, AMERICAN EXPRESS, Mastercard, Diners Club
※クレジットカードは自費診療の際のみご利用いただけます。
休診日:木曜、日曜、祝日
9:00〜12:30
14:30〜18:00

Page Top